Rattibha Rattibha
Popular Threads Categories Authors Trends Search ๐• Threads
What is rattibha? About Us
Rattibha Rattibha
๐Ÿ‡ธ๐Ÿ‡ฆ ุงู„ุนุฑุจูŠุฉ ๐Ÿ‡บ๐Ÿ‡ธ English
Trump 65.9M Venezuela 66M Greenland 6.2M Amorim 7.1M China 8.2M
Francisco Soto, MD, MS, MBA

Francisco Soto, MD, MS, MBA

@FSotoMD

Pulm/CritCare | Division Chief | Pulm Vascular Dz | Right๐Ÿซ€Cath Connoisseur |๐Ÿซ€๐Ÿซ #Hemodynamics | CritCareEcho | #POCUS | My Opinions

Joined Nov 2024
View on ๐•
5
Threads
7
views
2.2K
Followers
825
Tweets

Threads

Recent Most Read Most Liked
[1] #Hemodynamics Tweetorial #2

Heart failure pt in ICU is -3.5L after 2d of aggressive diuresis. O...

[1] #Hemodynamics Tweetorial #2 Heart failure pt in ICU is -3.5L after 2d of aggressive diuresis. On day 3, urine output is โฌ‡๏ธand BUN/Cr is โฌ†๏ธ You personally wedge #PAC at bedsid...

Francisco Soto, MD, MS, MBA
Francisco Soto, MD, MS, MBA
@FSotoMD
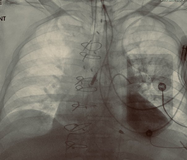
[1] A "wandering" PA catheter

A pt with acute on chronic HFrEF (decline d/t acute ant wall MI) was...

[1] A "wandering" PA catheter A pt with acute on chronic HFrEF (decline d/t acute ant wall MI) was admitted to ICU overnight. Cath lab #hemodynamics: PA 50/27/mean 35, Wedge 27....

Francisco Soto, MD, MS, MBA
Francisco Soto, MD, MS, MBA
@FSotoMD

Loading more...

No more threads to load
Unroll Thread
Settings
Theme
Font Size
Share this page

Unroll Thread

Paste a thread URL like https://x.com/user/status/123456789 or just the tweet ID

Save for reading
Download as PDF
Easy sharing
Permanent archive
Rattibha Rattibha

Read the best of ๐•'s users creations and masterpieces. We collect threads based on ๐• community recommendations and put them in an easy to read webpage. Moreover, we enable users to print, share, save and convert to PDF. All of this are offered to the world free of charge!

Quick Links

Popular Threads Categories Authors Search ๐• Threads

About

What is rattibha? About Us Privacy Policy Terms&Conditions

ยฉ 2026 Rattibha. All rights reserved.