๐——๐—ฎ๐—ป๐—ถ๐—ฒ๐—น ๐—ข๐—ฝ๐—ฎ๐˜‡๐—ผ #โ„™๐•†โ„‚๐•Œ๐•Š ๐Ÿ—ฟ
๐——๐—ฎ๐—ป๐—ถ๐—ฒ๐—น ๐—ข๐—ฝ๐—ฎ๐˜‡๐—ผ #โ„™๐•†โ„‚๐•Œ๐•Š ๐Ÿ—ฟ

@TaotePOCUS

3 Tweets 24 reads May 09, 2021
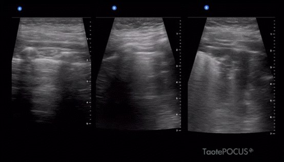
7 y/o ๐Ÿง’๐Ÿป
1 day with dry cough + fever
Normal ๐Ÿซ๐Ÿฉบ
#POCUS
โž– Probe on right axilla (Long & trans)
ใ€ฝ๏ธBacterial Pneumonia
A profile Alveolar Consolidation
(Normal) + Air Bronchogram
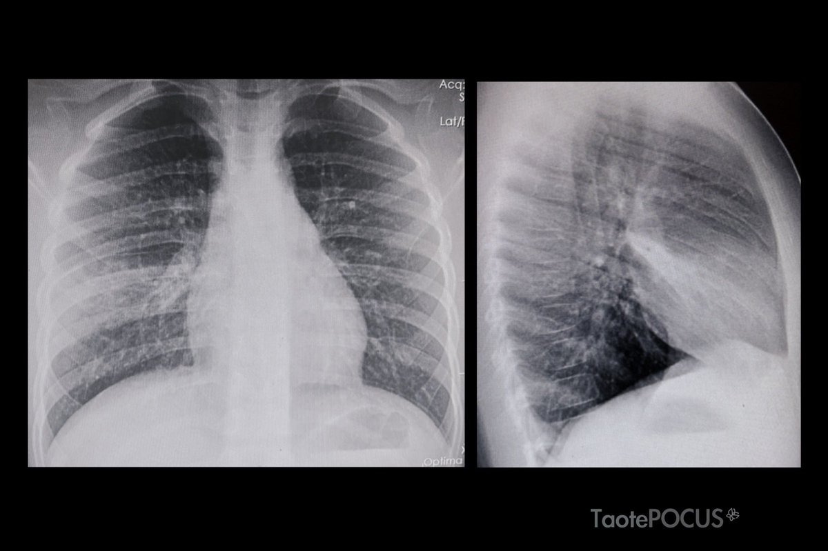
โฌ‡๏ธ โฌ‡๏ธ
X ray
[2/2]

Loading suggestions...