IMCrit

IMCrit

@IM_Crit_

Intensivist I Internal Medicine | β˜•οΈ, 🍩, πŸ₯, 🍫 addict

Joined Apr 2020
45
Threads
173
views
52.9K
Followers
11.6K
Tweets

Threads

ICU stories (from the trenches): 70 yo pt w hx of A-fib/CAD/ICM w EF 25%/VT ablation s/p BiV ICD/CKD...

ICU stories (from the trenches): 70 yo pt w hx of A-fib/CAD/ICM w EF 25%/VT ablation s/p BiV ICD/CKD/HTN/HLD/peripheral vasc dz/COPD etc presented to outside πŸ₯ w SOB/weakness/falls...

ICU stories (from the trenches): It's been a bit more than 2 hrs in your night shift & you are check...

ICU stories (from the trenches): It's been a bit more than 2 hrs in your night shift & you are checking some labs signed out to you to be followed on. A rapid response is called fo...

IMCrit

ICU Infectious Disease Pearls and Pet Peeves-Part3: These are some extra points & random thoughts regarding commonly used antimicrobials & frequently encountered ID scenarios in th...

IMCrit

ICU Infectious Disease Pearls and Pet Peeves – Part2: These are some additional points and random thoughts regarding commonly used antimicrobial agents and frequently encountered I...

IMCrit

ICU Infectious Disease Pearls and Pet Peeves: I love ID (or at least I did until COVID-19 came into our lives…) and for quite some time I wanted to write a relevant thread. These a...

ICU (evolving) stories: A young patient was admitted with "aspiration pneumonia" a few days ago. On...

ICU (evolving) stories: A young patient was admitted with "aspiration pneumonia" a few days ago. On mechanical ventilation. Afebrile. Negative cultures. CXR when you first see him...

ICU stories: Eldelry pt w CAD s/p multi-vessel PCI / DM2 / HTN presented to the ED w epigastric "bur...

ICU stories: Eldelry pt w CAD s/p multi-vessel PCI / DM2 / HTN presented to the ED w epigastric "burning". Symptoms much worse with laying down & while eating. No relief w iv famot...

ICU stories: You start your night shift and while walking in and out each patient’s room, you see th...

ICU stories: You start your night shift and while walking in and out each patient’s room, you see this πŸ‘‡ on one ventilator's screen: https://t.co/W9uv9zOyzD

ICU stories: Middle-aged pt w remote hx of seizures had grand-mal sz at home & in the ambulance. Int...

ICU stories: Middle-aged pt w remote hx of seizures had grand-mal sz at home & in the ambulance. Intubated for airway protection in ED; transferred to ICU. Placed on propofol. Over...

ICU stories: Middle-aged pt w/o significant PMHx presented to the ED on a Friday afternoon w SOB/cou...

ICU stories: Middle-aged pt w/o significant PMHx presented to the ED on a Friday afternoon w SOB/cough x 2 wks. Vaxed x2 but tested C19(+). BP 120/90, Sat 98% on 2 l/m. ECG: new-on...

ICU stories: Elderly pt w PMHx of CAD/COPD/CKD/DM2/cirrhosis c/b esoph varices + ascites requiring p...

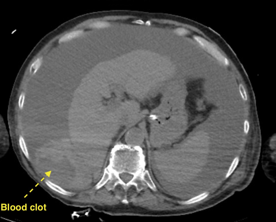
ICU stories: Elderly pt w PMHx of CAD/COPD/CKD/DM2/cirrhosis c/b esoph varices + ascites requiring paracentesis (most recent a week earlier)/anemia of chronic dz/”etc” presented to...

ICU stories: Starting a night shift and knowing very little about the pt, I walked in the room (elde...

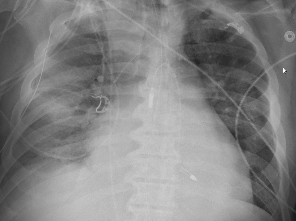
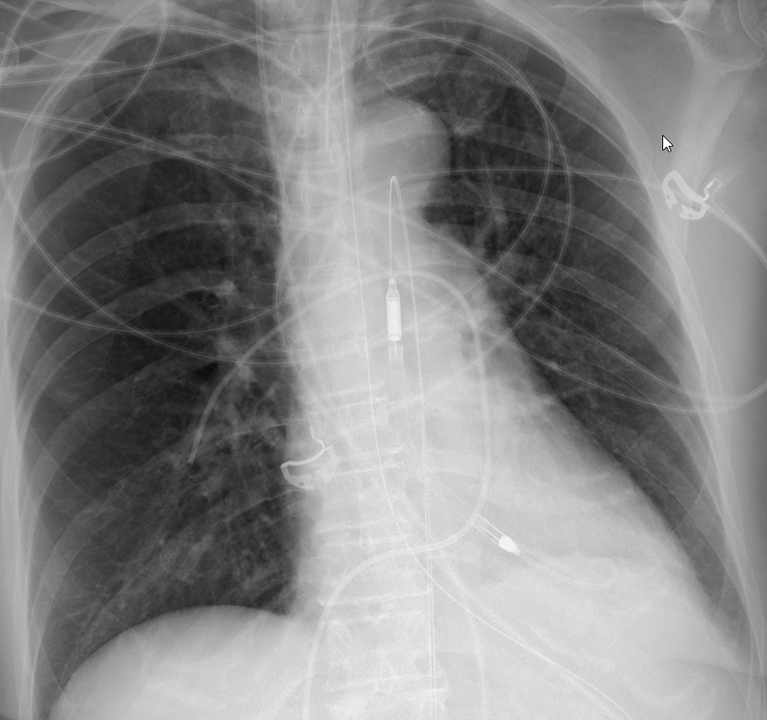
ICU stories: Starting a night shift and knowing very little about the pt, I walked in the room (eldelrly, POD #2 "heart surgery", on the vent + on HD) and I saw this on the monitor...