NephroPOCUS
NephroPOCUS

@NephroP

6 Tweets 50 reads Mar 03, 2022
Suprasternal aortic view #POCUS #anatomy
- used in the evaluation of aortic aneurysms, dissection, coarctation, quantifying aortic regurgitation etc.
#MedEd #IMPOCUS
Suprasternal crab view demonstrating the pulmonary veins
#POCUS #echofirst
Crab view illustration (from ASE guidelines)
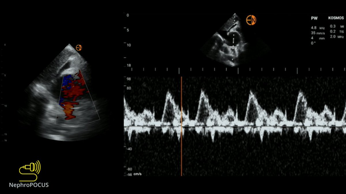
Suprasternal SVC view
Can obtain SVC Doppler (#VExUS) when other views are difficult (e.g. neck collar, RUQ surgical dressings etc)
Aortic dissection seen on suprasternal view
Courtesy: @thepocusatlas

Loading suggestions...