Rattibha Rattibha
Popular Threads Categories Authors Trends Search 𝕏 Threads
What is rattibha? About Us
Rattibha Rattibha
🇸🇦 العربية 🇺🇸 English
Trump 65.9M Venezuela 66M Greenland 6.2M Amorim 7.1M China 8.2M

#IMPOCUS

8 Threads

Related Hashtags

#بلازما_المتعافين #ايزيس #مبادرات_تبرير_خيانات_قطر #المحمل #الخصومات #قاعده #sueford #بطل_أخير #برجومي #إعادة_التدوير
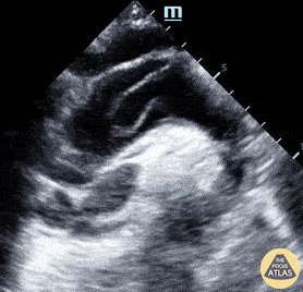
Suprasternal aortic view #POCUS #anatomy
- used in the evaluation of aortic aneurysms, dissection, c...

Suprasternal aortic view #POCUS #anatomy - used in the evaluation of aortic aneurysms, dissection, coarctation, quantifying aortic regurgitation etc. #MedEd #IMPOCUS https://t.co/K...

NephroPOCUS
NephroPOCUS
@NephroP
#POCUS #IMPOCUS #Nephrology image of the day:
Back to basics of lung #ultrasound: A-lines and B-line...

#POCUS #IMPOCUS #Nephrology image of the day: Back to basics of lung #ultrasound: A-lines and B-lines See 🧵for brief explanation. #MedEd https://t.co/2YoyVvMytg

NephroPOCUS
NephroPOCUS
@NephroP
1/
Thread: Ultrasound for CVC placement - more than just follow the needle tip and confirm the wire....

1/ Thread: Ultrasound for CVC placement - more than just follow the needle tip and confirm the wire. There are many potential uses of ultrasound during CVC placement, shown here....

IM POCUS Focus
IM POCUS Focus
@IMPOCUSFocus

Loading more...

No more threads to load
Unroll Thread
Settings
Theme
Font Size
Share this page

Unroll Thread

Paste a thread URL like https://x.com/user/status/123456789 or just the tweet ID

Save for reading
Download as PDF
Easy sharing
Permanent archive
Rattibha Rattibha

Read the best of 𝕏's users creations and masterpieces. We collect threads based on 𝕏 community recommendations and put them in an easy to read webpage. Moreover, we enable users to print, share, save and convert to PDF. All of this are offered to the world free of charge!

Quick Links

Popular Threads Categories Authors Search 𝕏 Threads

About

What is rattibha? About Us Privacy Policy Terms&Conditions

© 2026 Rattibha. All rights reserved.