12 Tweets 2 reads Feb 22, 2023
What are Seed Oil Spots?
Those "freckles" might not be as innocent as you think
(A thread ๐Ÿงต)
Seed Oil Spots are yet another skin condition perpetrated by the odious oils.
In this thread I'll teach you about where they come from, and how you might fix/prevent them
Keep in mind: I'm not talking about the normal freckles that naturally appear in many fair-skinned people, especially children.
Rather, the issue is with liver spots/sun spots (I prefer "Seed Oil Spots") that tend to increase with age and sun exposure.
You know, the ones that @MayoClinic says "require no treatment"
They're not healthy, and they're not normal. How do I know?
Simple. Here are some photos of old people that grew up outside of modern industrial civilization.
Notice the lack of brown spots that are ubiquitous in the modern elderly.
Just open an old family scrapbook and see for yourself.
While normal freckles come from an overproduction of melanin (tanning pigment), Seed Oil Spots come from another, more unsavory pigment:
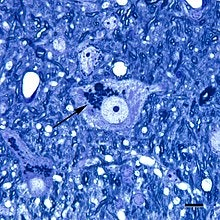
Lipofuscin
Lipofuscin is a "yellow-brown pigment" that is the byproduct of "the oxidation of unsaturated fatty acids", aka seed oil decay.
Decomposing seed oils mix with iron, aluminum, and other oxidized garbage to produce this suspicious substance
en.wikipedia.org
As you know, sun exposure increases the rate of seed oil oxidation, and therefore of lipofuscin formation.
The fact that it's blamed on the sun and dorks at webMD tell you to use more sunscreen to prevent it completely misses the true culprit: seed oils in the skin.
And it is far from harmless. It's been implicated in macular degeneration, alzheimers, and a host of neurodegenerative disorders because it's not limited to merely skin tissue.
By the time you see it on the skin, the entire body has been infiltrated.
TREATMENT
While this may be a new term for many of you, treating it will be familiar.
Cut out PUFAs (from seed and fish oils), eat more saturated fat, take Vitamin E, sauna, etc. to RETVRN to smooth, even skin that can handle the sun's rays without decomposing
For more esoteric seed oil disrespect and details on how to defend your skin against their miserable machinations, check out my substack on the topic:
reallytanman.substack.com
Also, please consider retweeting the first tweet because people need to hear the gospel of perfect skin ๐Ÿค

Loading suggestions...