List of food / pathogens (diseases) shown:
1. Fried rice / Bacillus cereus
2. Deli meat / Listeria (rhomboencephalitis)
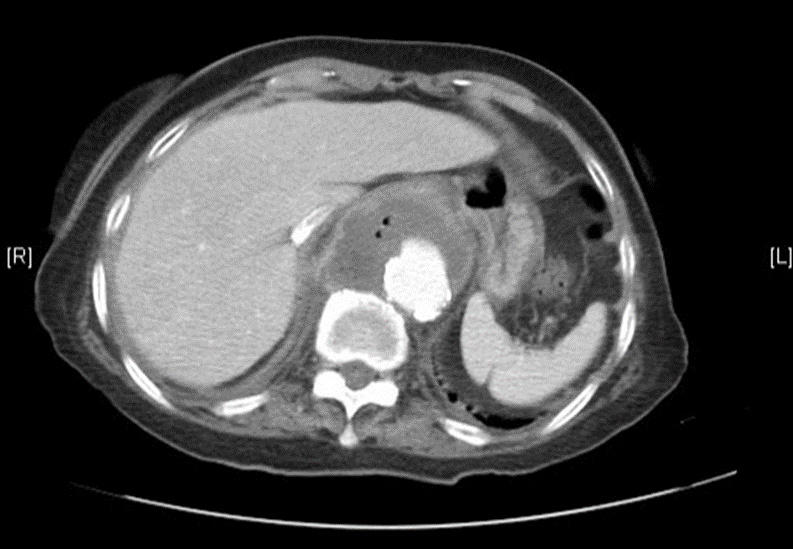
3. Raw egg / Salmonella (aortitis)
4. Unpasteurized milk / Brucella (spondylitis)
5. Home canned food / Clostridium botulinum (botulism)
(1/2)
1. Fried rice / Bacillus cereus
2. Deli meat / Listeria (rhomboencephalitis)
3. Raw egg / Salmonella (aortitis)
4. Unpasteurized milk / Brucella (spondylitis)
5. Home canned food / Clostridium botulinum (botulism)
(1/2)
6. Pork liver / Hepatitis E (jaundice)
7. Oysters / Norovirus (GE with projectile vomiting)
8. Sashimi / Anisakiasis
9. Freshwater fish / Clonorchis sinensis
10. Watercress / Fasciola hepatica (liver abscess)
Hope you all had some fun! Have a great meal!
(2/2)
7. Oysters / Norovirus (GE with projectile vomiting)
8. Sashimi / Anisakiasis
9. Freshwater fish / Clonorchis sinensis
10. Watercress / Fasciola hepatica (liver abscess)
Hope you all had some fun! Have a great meal!
(2/2)
Loading suggestions...