A cardiac CT is a scan of the heart and coronary arteries to assess for the presence and extent of advanced atherosclerosis.
Calcification of the coronary arteries is a marker of advanced atherosclerosis.
And is an excellent marker of cardiovascular risk.
/2
Calcification of the coronary arteries is a marker of advanced atherosclerosis.
And is an excellent marker of cardiovascular risk.
/2
There are two types of cardiac CT:
CT Coronary Artery Calcium scan. CT CAC Scan.
CT Coronary Angiogram. CTCA.
Understanding the difference between these two tests is crucial.
/4
CT Coronary Artery Calcium scan. CT CAC Scan.
CT Coronary Angiogram. CTCA.
Understanding the difference between these two tests is crucial.
/4
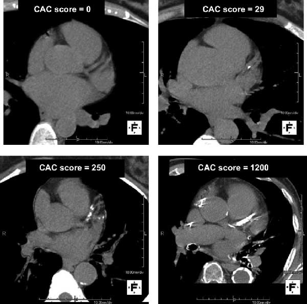
A score of 0 means there are no significant deposits of calcified atherosclerosis.
It DOES NOT mean there is no atherosclerosis.
However, with a CAC of 0 over 10 years:
- Heart attack risk is about 2-5%
- All-cause mortality risk is <2%
Therefore very low risk.
/6
It DOES NOT mean there is no atherosclerosis.
However, with a CAC of 0 over 10 years:
- Heart attack risk is about 2-5%
- All-cause mortality risk is <2%
Therefore very low risk.
/6
CAC = 0 Means No Statin?
Not so fast.
I hear this ALL the time in those with a high APOB/LDL-C.
You are correct that your 10-year risk is low and that
Going on lipid-lowering therapy is unlikely to majorly reduce your risk of an event over the next ten years.
/9
Not so fast.
I hear this ALL the time in those with a high APOB/LDL-C.
You are correct that your 10-year risk is low and that
Going on lipid-lowering therapy is unlikely to majorly reduce your risk of an event over the next ten years.
/9
However, I am generally not that interested in the next ten years but more in the next 40 to 50 years.
If you have a CAC score of 0 as a 50yr white female, you must compare yourself to an age-matched peer.
Only 16% 50yr white females have a CAC >0
/10
If you have a CAC score of 0 as a 50yr white female, you must compare yourself to an age-matched peer.
Only 16% 50yr white females have a CAC >0
/10
Always remember the goal is to avoid plaque build-up
Which means first aggressively treating your risk factors, e.g. APOB
A CAC of 0 in this group implies low risk
But if your objective is to lower your lifetime risk, you must focus primarily on risk factors.
/11
Which means first aggressively treating your risk factors, e.g. APOB
A CAC of 0 in this group implies low risk
But if your objective is to lower your lifetime risk, you must focus primarily on risk factors.
/11
But If It’s All About Risk Factors, Why Do The Test At All?
This is an excellent question.
Currently, no prospective randomised controlled trial demonstrates that doing a CAC scan decreases events.
However….
/12
This is an excellent question.
Currently, no prospective randomised controlled trial demonstrates that doing a CAC scan decreases events.
However….
/12
These changes are EXACTLY what we hope to get our patients to do
And knowing their CAC score is a reliable way to motivate that change.
It is exactly BECAUSE risk factor control is the key I use this test.
/14
And knowing their CAC score is a reliable way to motivate that change.
It is exactly BECAUSE risk factor control is the key I use this test.
/14
Additionally, a large percentage of my patients also want to KNOW if they have significant coronary artery disease
And this is a way of answering that question for them.
Does it have hard outcome data to support its use? No.
But that does not matter to me.
/15
And this is a way of answering that question for them.
Does it have hard outcome data to support its use? No.
But that does not matter to me.
/15
Answering the question as to whether someone has serious coronary artery disease is a major concern for patients
And they deserve a more reliable answer than only evaluating their risk factors.
However.
A CAC of 0 does not exclude all advanced atherosclerosis.
/16
And they deserve a more reliable answer than only evaluating their risk factors.
However.
A CAC of 0 does not exclude all advanced atherosclerosis.
/16
It does not assess for any degree of obstruction of the coronary arteries.
I have several patients who have needed coronary artery stenting and who have a CAC score of 0.
It is not a useful test for those complaining of chest pain.
So what do I request?
/17
I have several patients who have needed coronary artery stenting and who have a CAC score of 0.
It is not a useful test for those complaining of chest pain.
So what do I request?
/17
That's a wrap!
If you enjoyed this thread:
👋 You can join over 20K others on my free weekly newsletter
Or you can sign up for my Free 5 Day Course On Preventing Heart Disease.
Links in the Bio Above ☝️
If you enjoyed this thread:
👋 You can join over 20K others on my free weekly newsletter
Or you can sign up for my Free 5 Day Course On Preventing Heart Disease.
Links in the Bio Above ☝️
If you liked what you read here
You will definitely enjoy my Free 5 Day Mini Course On Preventing Heart Disease.
You can sign up for free here.
drpaddybarrett.com
You will definitely enjoy my Free 5 Day Mini Course On Preventing Heart Disease.
You can sign up for free here.
drpaddybarrett.com
Loading suggestions...