1/ Hi π #medtwitter #neurotwitter #FOAMed #MedEd have a challenging case to share with you! Come join me and hopefully learn something new along the way!
3/ What is your diagnosis?
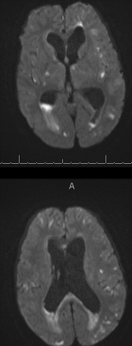
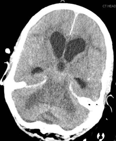
4/ All the ventricles are enlarged. There is some degree of transependymal flow with sulcal effacement, so unlikely this is NPH. Most likely communicating π§ π§. But why?
5/ Remember a colloid cyst will give you obstructive π§ π§. Patient without history of cancer, but cannot rule out, so vast differential. Do you LP?
8/ Cultures eventually grow strep pneumo π¦ . π©Έ cultures also growing strep pneumo. Patient is already on ceftriaxone and vancomycin. Do you add steroids?
9/ Steroids have been advocated in meningitis due to some studies showing:
π Lower mortality w/ strep pneumo
π Lower chance of hearing loss
This is postulated to be due to its effects reducing inflammatory cytokines in the CSF
π Lower mortality w/ strep pneumo
π Lower chance of hearing loss
This is postulated to be due to its effects reducing inflammatory cytokines in the CSF
10/ Unfortunately, steroids should be given BEFORE or WITH antibiotics, and this patient had received antibiotics in ED, so these were not started at this point, given no additional benefit if given AFTER antibiotics. So if you suspect meningitis, give steroids!
13/ For more on DWI, I recommend you check out this tweet, but also follow @teachplaygrub if you do not already! x.com
@teachplaygrub 14/ Many days later, the patient then has CSF cultures come back positive again with Strep pneumo π―π. What do you do?
@teachplaygrub 15/ We exchanged the EVD and started IT vancomycin given there are case reports of itβs success in the literature (see: e-jnc.org) but alas, the patient did not recover and family opted for hospice care
@teachplaygrub 16/ What about source? Strep pneumo is the 1οΈβ£ cause of π§ π¦ in US, though lower than pre-π! Strep pneumo lives in the mucus layer of the upper respiratory tract and can be a colonizer. It can cause otitis/mastoiditis/sinusitis and can be passed in droplet form to others.
@teachplaygrub 17/ Remember, N. Meningitis is the one you need to take πprophylaxis for if you are exposed! However, droplet precautions should continue while the patient is hospitalized! π·
@teachplaygrub 18/ Take π‘ points:
π If you suspect meningitis, give steroids before or with antibiotics
π Strep pneumo is the most common π¦
π Strep pneumo can live in the respiratory tract and be a colonizer, causing trouble in specific people
π IT vanco can be used for refractory cases
π If you suspect meningitis, give steroids before or with antibiotics
π Strep pneumo is the most common π¦
π Strep pneumo can live in the respiratory tract and be a colonizer, causing trouble in specific people
π IT vanco can be used for refractory cases
@teachplaygrub End/ Thank you for getting this far! Other thoughts, comments, questions, opinions or corrections?
@caseyalbin
@JimmySuhMD
@JimSiegler
@MicieliA_MD
@a_charidimou
@EricLawson90
@CajalButterfly
@Capt_Ammonia
@DrAtulRamesh1
@RamaniBalu1
@DSandsmarkMDPhD
@caseyalbin
@JimmySuhMD
@JimSiegler
@MicieliA_MD
@a_charidimou
@EricLawson90
@CajalButterfly
@Capt_Ammonia
@DrAtulRamesh1
@RamaniBalu1
@DSandsmarkMDPhD
@teachplaygrub @caseyalbin @JimmySuhMD @JimSiegler @MicieliA_MD @a_charidimou @EricLawson90 @CajalButterfly @Capt_Ammonia @DrAtulRamesh1 @RamaniBalu1 @DSandsmarkMDPhD @PennNeurology
@TJUHNeuroCrit
@namorrismd
@ShadiYaghi2
@MDNeurocritcare
@HopkinsNCCU
@PulmCrit
@drdangayach
@neurochristiana
@nirmalregency
@interneurona
@MicieliA_MD
@oneDRwoman_
@OGdukeneurosurg
@AvrahamCooperMD
@LorenzoPinelli
@daniel_gewolb
@medinariojaMD
@TJUHNeuroCrit
@namorrismd
@ShadiYaghi2
@MDNeurocritcare
@HopkinsNCCU
@PulmCrit
@drdangayach
@neurochristiana
@nirmalregency
@interneurona
@MicieliA_MD
@oneDRwoman_
@OGdukeneurosurg
@AvrahamCooperMD
@LorenzoPinelli
@daniel_gewolb
@medinariojaMD
Loading suggestions...